孩子感冒咳嗽看似常见,可12岁女孩笑笑的经历却让人感到后怕——仅发热 1 天,左肺就变成了
“白肺”,呼吸急促到无法平躺,血氧饱和度勉强维持在90%左右,情况十分危急!

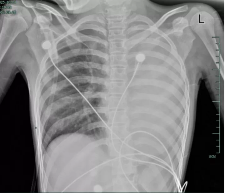
治疗前,左肺呈“白肺”状态

治疗后,“白肺”被吸收,心脏边缘清晰可见
还好在浙大四院儿科等多学科团队的努力下,笑笑已转危为安,这次来势汹汹的急症背后藏着一种容易被忽视的急性重症呼吸道疾病——塑型性支气管炎!
感冒咳嗽变“白肺”!
危险藏在黏液里
笑笑一开始只是轻微咳嗽,发热后外院检查提示肺炎、肺不张,转诊到浙大四院儿科时,病情已经急剧恶化。
入院后,她很快出现呼吸急促、胸闷胸痛,只能靠5L/min的面罩吸氧维持血氧,胸片显示左肺已完全呈 “白肺”
改变,肺部炎症进展迅猛。
儿科虞琳副主任医师凭借经验判断,笑笑极有可能是患上了 “塑型性支气管炎”。
这是一种肺部感染的严重肺内并发症,由不同原因引发的支气管内生性异物阻塞疾病,会导致支气管阻塞、通气和气体交换功能障碍,主要症状为呼吸困难、喘息、胸痛及发热,严重时会引发危及生命的呼吸循环衰竭。
“这种病的凶险之处在于,气道会被大量胶冻状的黏液栓和支气管塑型堵塞,就像呼吸通道被‘水泥’
封住,氧气进不去、二氧化碳出不来,随时可能窒息。”虞琳说。
支气管镜打通生命通道
由于笑笑血氧不稳定、对缺氧耐受差,手术风险极高,随时可能需要气管插管和呼吸机辅助通气。医院立刻启动多学科协作,儿科联合重症医学科、呼吸与危重症医学科、麻醉科共同制定方案,最终决定紧急开展支气管镜手术。

手术中,支气管镜刚进入气道就看到令人揪心的一幕:气道黏膜充血水肿,大量黄白色黏痰不断涌出,左主支气管及各肺段开口已被黏液栓完全堵死。
医护团队争分夺秒,用负压吸引、灌洗、钳取等方式清理堵塞物,“镜子被黏稠分泌物堵住就拔出疏通再插入,患者缺氧耐受差就及时加压给氧……
”虞琳说经过反复操作,终于打通了被堵塞的呼吸通道。
术后第二天,笑笑呼吸困难、胸痛的症状明显好转,病情得到了初步控制,成功从“鬼门关”拉了回来,转回儿科普通病房继续治疗。
后续检查发现,引发她此次感染的是毒力极强的铜绿假单胞菌,多发生在免疫功能低下人群。经过精准抗感染、祛痰、抗炎等系列治疗,孩子逐渐康复,已顺利出院。
值得高兴的是,笑笑的“白肺”基本吸收,恢复如常,没有留下严重的并发症。
孩子出现这些症状
千万别拖延,尽快就诊!
虞琳介绍,塑型性支气管炎是儿童期凶险的呼吸道急症,常见于2~12岁儿童,多由流感病毒、肺炎支原体、腺病毒等病毒或细菌感染引发。
它的特点是起病隐匿、进展快,容易误诊漏诊,若不及时治疗,可能遗留闭塞性细支气管炎、支气管扩张症等后遗症,严重时直接危及生命。
家长要警惕这些信号:孩子感冒咳嗽后出现持续发热、喘息加重、呼吸急促、胸闷胸痛、胸片或CT提示“肺不张”“肺实变”,尤其是症状在短时间内快速恶化时,一定要立即就医,切勿当作普通感冒拖延。

目前,经支气管镜直接去除气道内的塑型性异物是最直接、最有效的治疗方法。支气管镜不仅能直接观察气道情况、获取标本明确病因,还能通过灌洗、钳夹等方式清除分泌物,帮助控制感染、缩短病程,减少后遗症风险。
12岁女孩发热1天肺全白!这种会堵死气道的病,别当普通感冒
时间:2025-11-05 13:22来源:
未知
点击:
次
责任编辑:admin
顶一下
(0)
0%
踩一下
(0)
0%
免责声明:中国民生播报网本栏目发布信息,目的在于传播更多信息,丰富网络文化,稿件仅代表作者个人观点,与中国民生播报网无关。其原创性以及中文陈述文字和文字内容未经本网证实,对本文以及其中全部或者部分内容、文字的真实性、完整性、及时性本网不做任何保证或者承诺,请读者仅作参考,并请自行核实相关内容。凡注明为其他媒体来源的信息,均为转载自其他媒体,转载并不代表本网赞同其观点,也不代表本网对其真实性负责。您若对该稿件由任何怀疑或质疑,请即中国民生播报网联系,本网将迅速给您回应并做处理。
- 最新评论 进入详细评论页>>


















